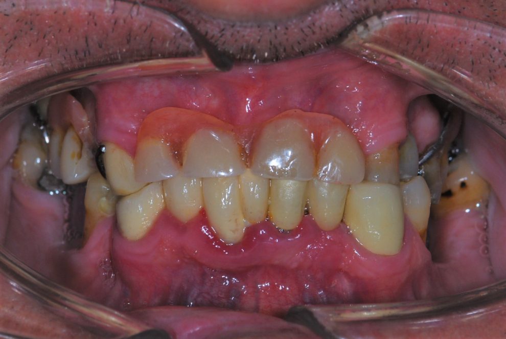
Deslice el cursor o el dedo a la izquierda y derecha para ver el cambio antes y después.
Rehabilitación Prótesis Implantes




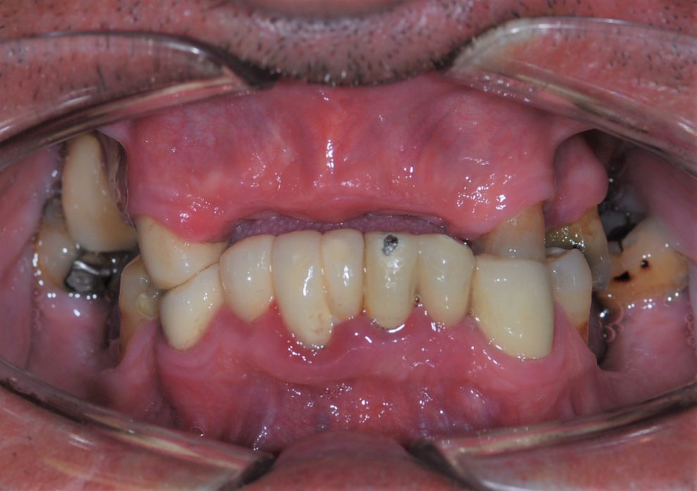
Deslice el cursor o el dedo a la izquierda y derecha para ver el cambio antes y después.


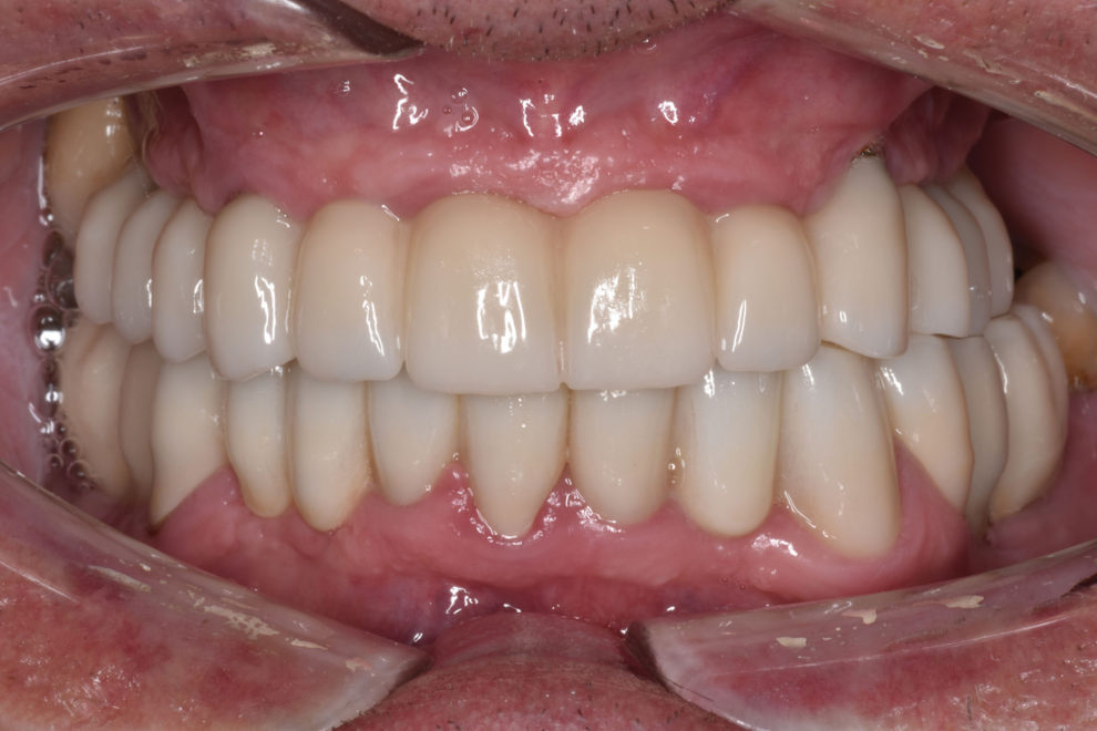
Deslice el cursor o el dedo a la izquierda y derecha para ver el cambio antes y después.


Deslice el cursor o el dedo a la izquierda y derecha para ver el cambio antes y después.