Deslice el cursor o el dedo a la izquierda y derecha para ver el cambio antes y después.
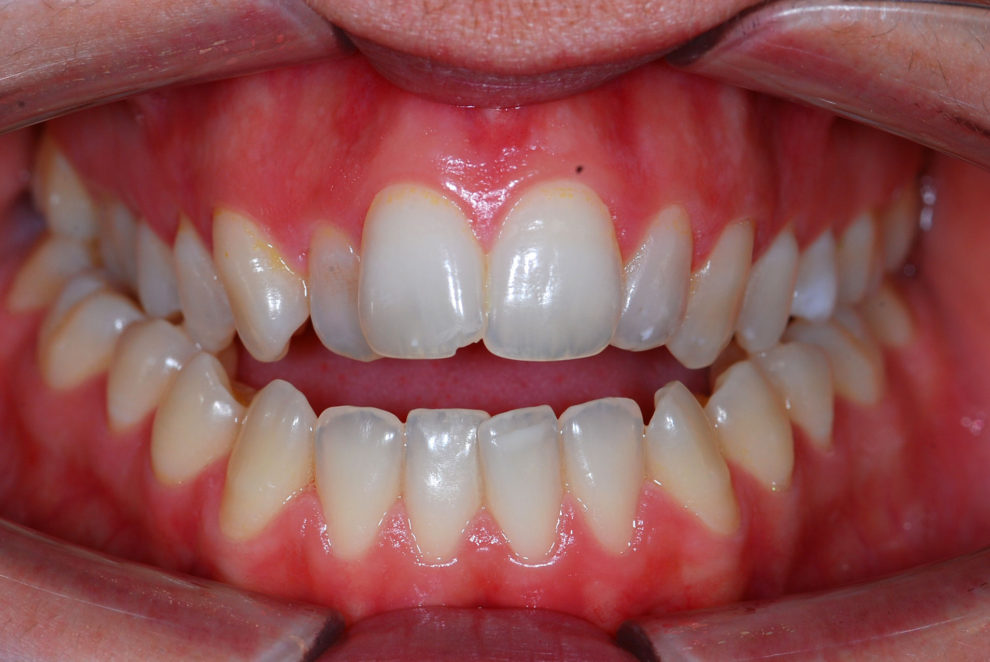
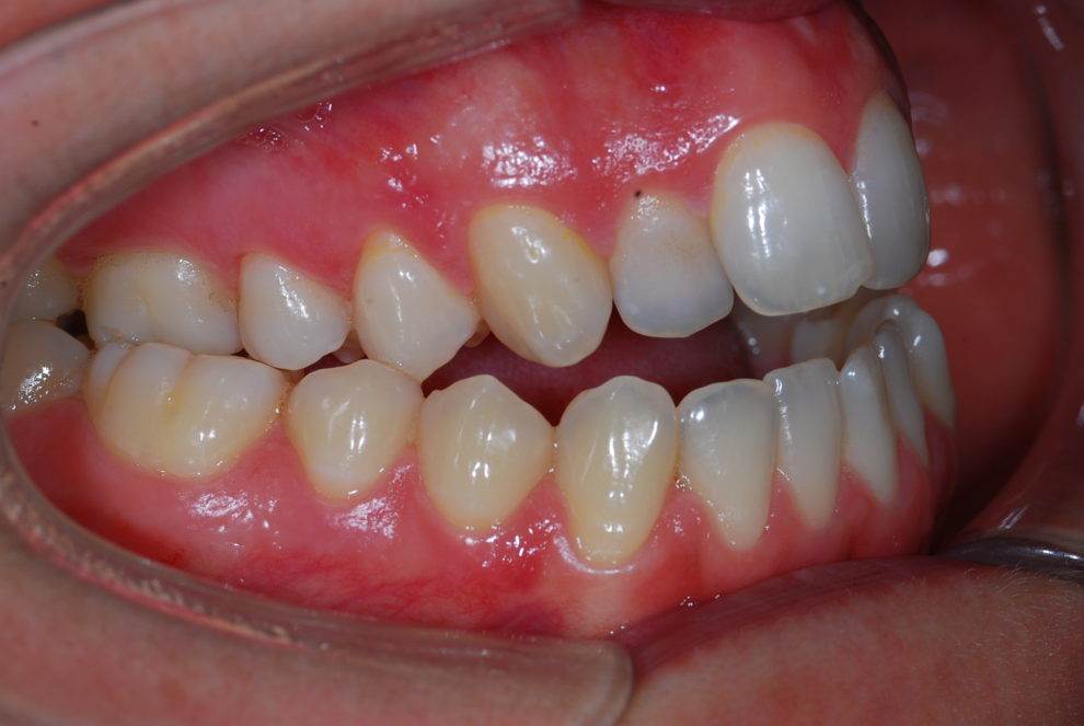
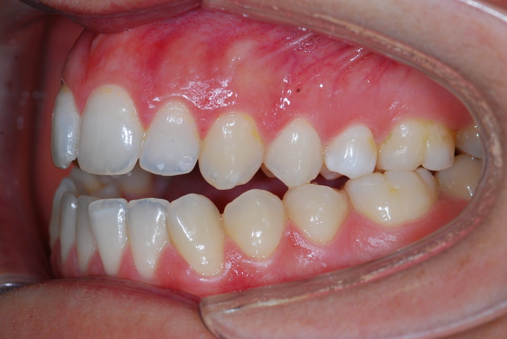
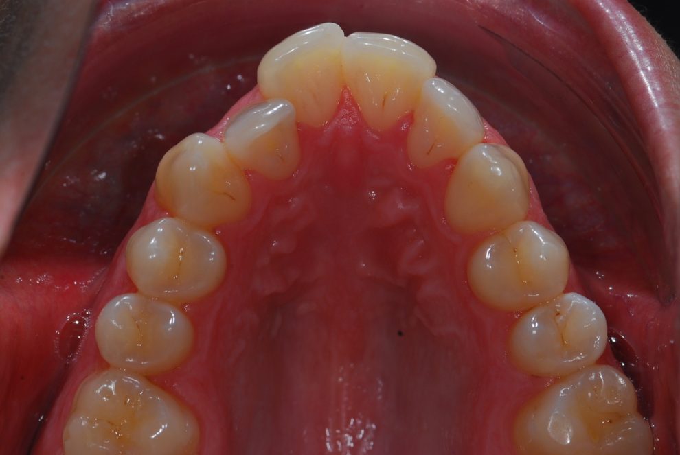
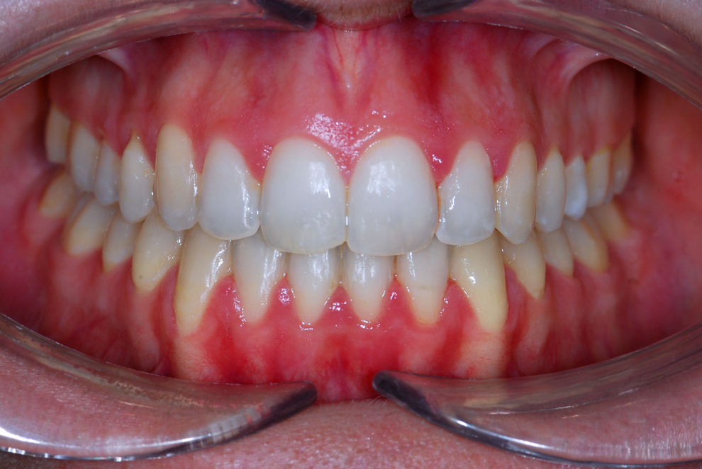
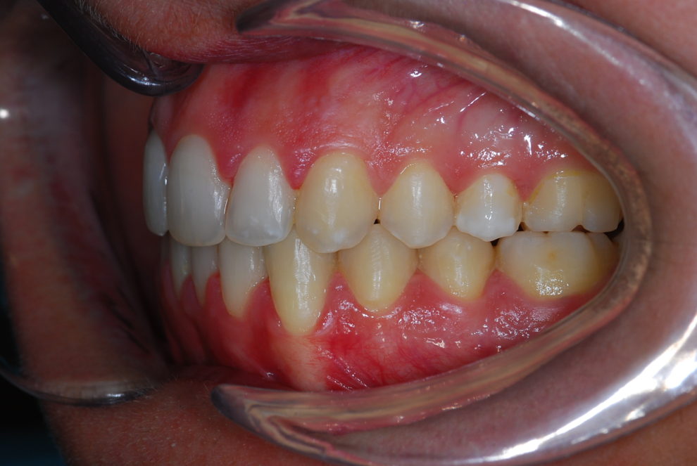
Ortodoncia + Mordida cruzada y abierta




Deslice el cursor o el dedo a la izquierda y derecha para ver el cambio antes y después.
Yaiza Gallego
Después de pasar por 3 clínicas y que rechazaran mi caso, me recomendaron Gnatos con el pretexto de que «Pablo es muy apañao, seguro que allí pueden ayudarte».
Desde luego, los especialistas que me atendieron fueron en todo momento fantásticos y muy profesionales. Para un caso complejo como el mío, siempre buscaron intensivamente todas las opciones y soluciones posibles para obtener el mejor resultado.
Después de algunas lágrimas en el proceso debido al pánico bucodental y un año de ortodoncia, hoy día luzco prácticamente una nueva sonrisa y dentadura. Aún sigue pareciéndome increíble que pudieran conseguir un resultado tan perfecto en tan poco tiempo, sin duda ha merecido la pena.
Mis más merecidos agradecimientos a Lucía y Pablo, por atenderme tan bien durante ese periodo de tiempo tan duro.













