Deslice el cursor o el dedo a la izquierda y derecha para ver el cambio antes y después.
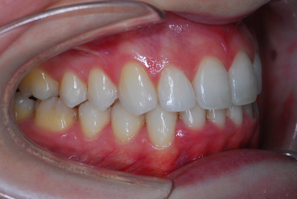
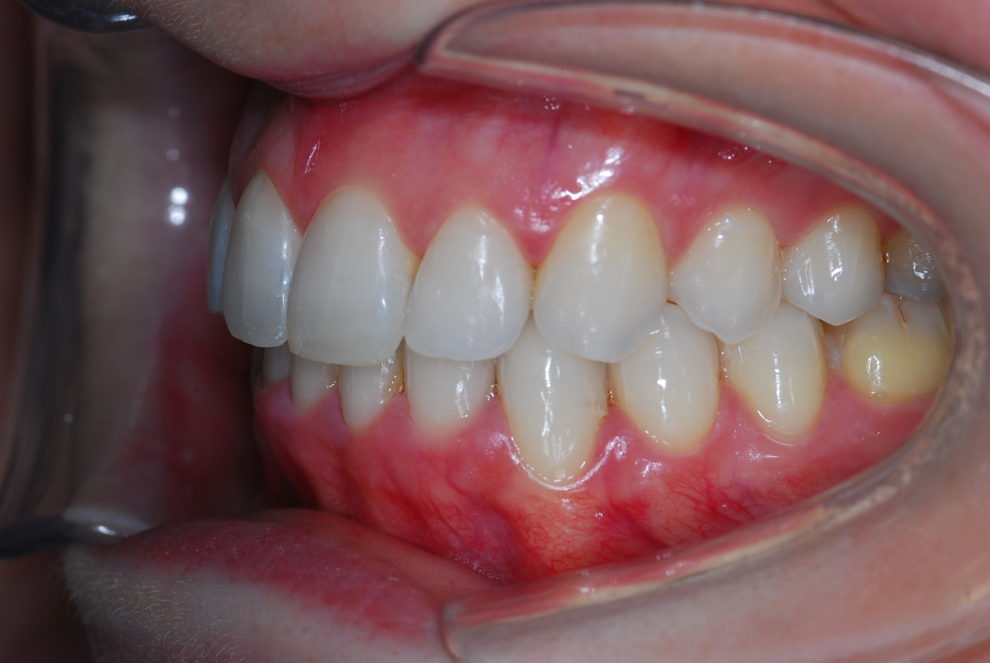
Ortodoncia y Restauración de composite




Deslice el cursor o el dedo a la izquierda y derecha para ver el cambio antes y después.


Deslice el cursor o el dedo a la izquierda y derecha para ver el cambio antes y después.
Ángela Pacheco
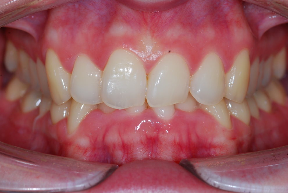
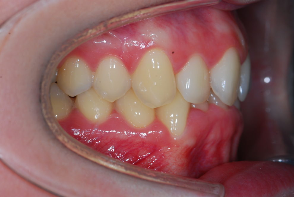
Siempre tuve complejo cuando sonreía. Aparte, al tener los dientes apiñados siempre me sangraban las encías y no tenia una buena salud dental.
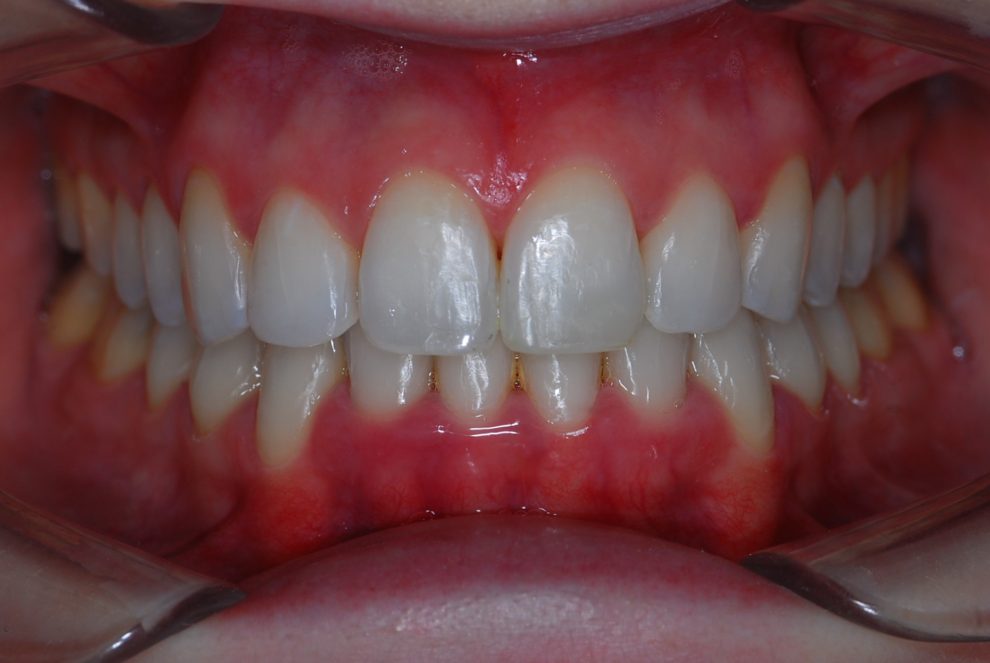
Mi doctor, Pablo, me aconsejo ponerme los braquets insignia. Desde el primer mes note el cambio y el tiempo pasa muy rápido. Aparte me hice un blanqueamiento y me reconstruí algunos dientes partidos.
Nunca imagine que en un año mis dientes estarían todos en su lugar y que pueda sonreír sin miedo. ¡Me encanta mi nueva sonrisa!
Para mí, la ortodoncia ha valido 100% la pena.
Estoy y estaré eternamente agradecida a toda la clínica dental Gnatos. Gracias Pablo, Manuel, Lucía, Marta, Bibi y Miriam.













