Deslice el cursor o el dedo a la izquierda y derecha para ver el cambio antes y después.
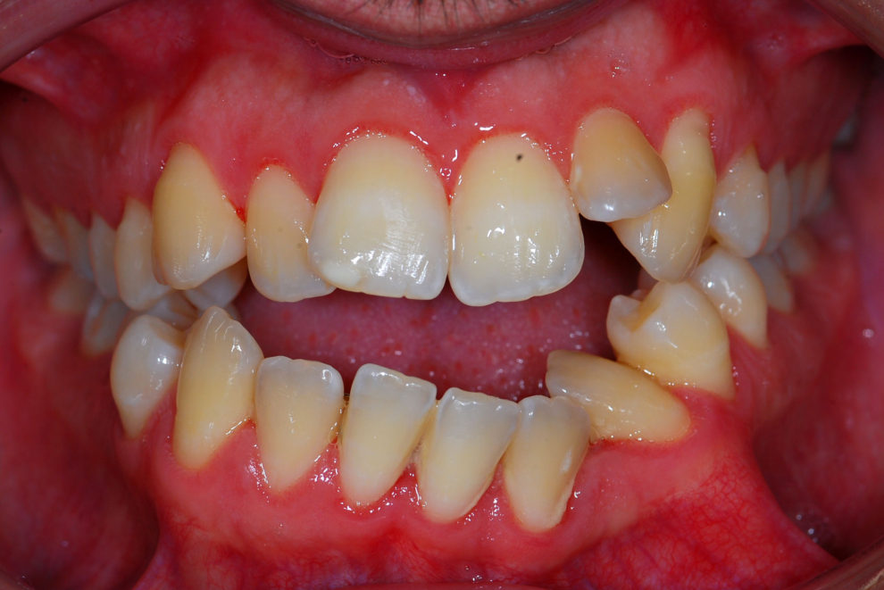
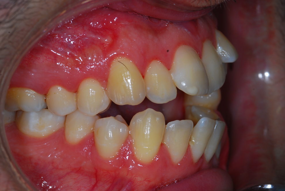
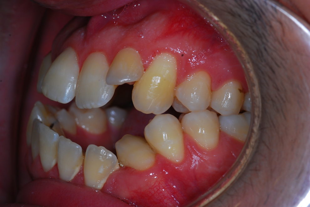
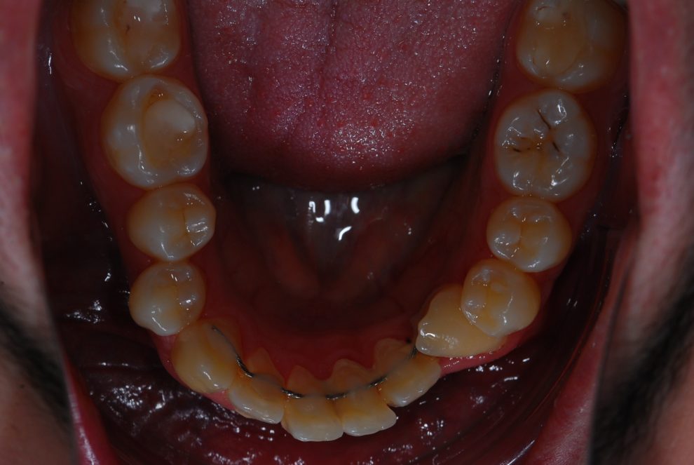
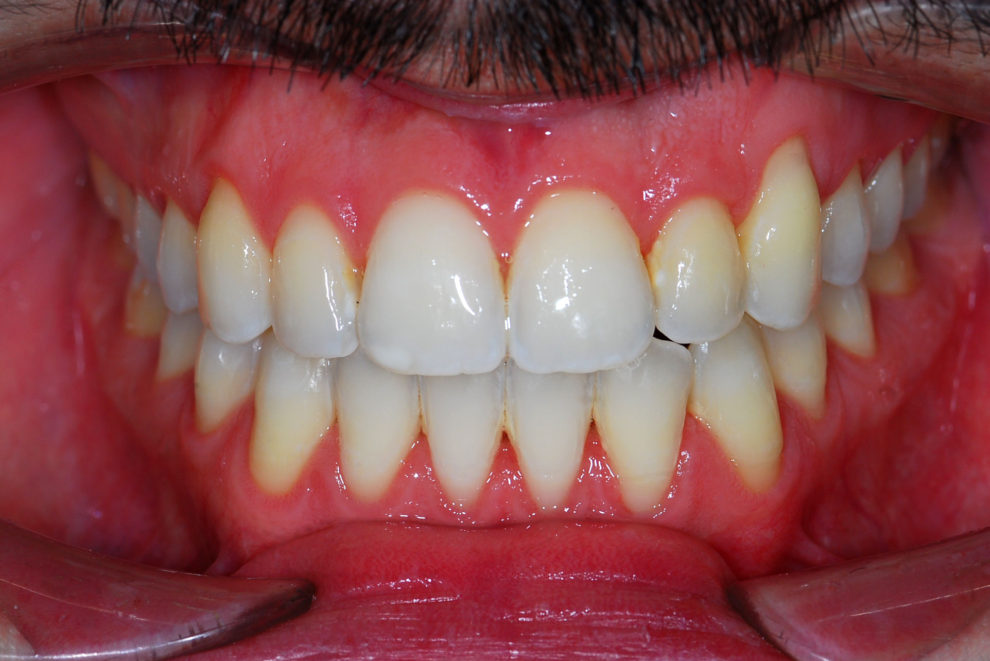
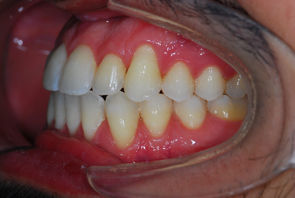
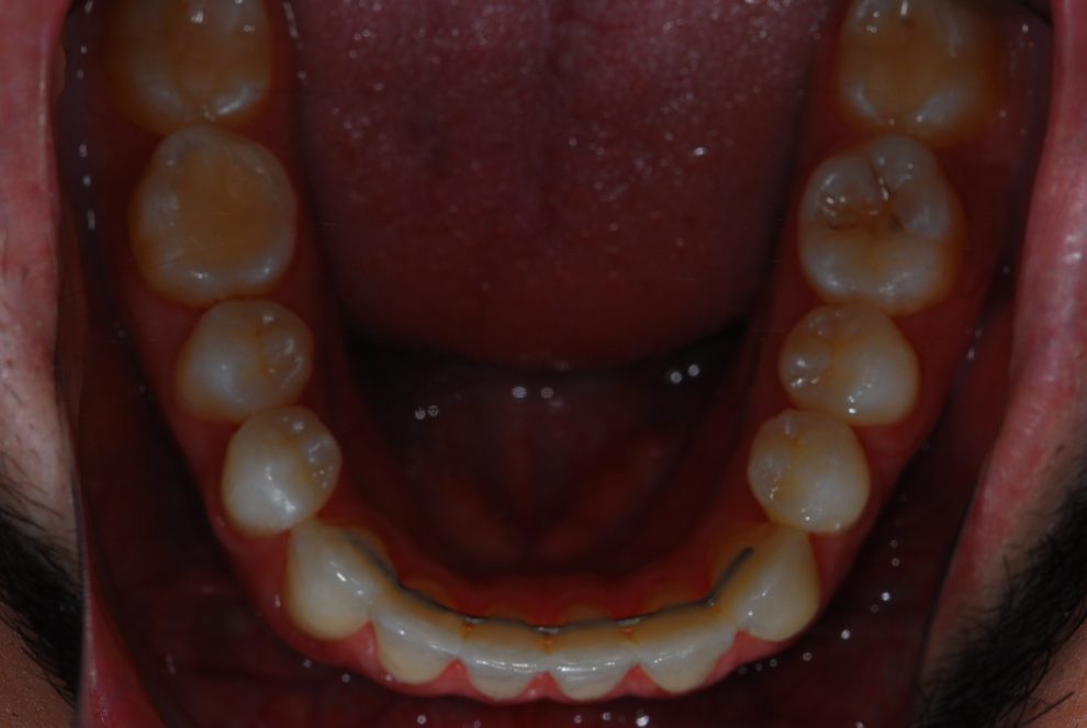
Ortodoncia + Mordida abierta
Nuestro paciente Manuel Vergara Gil acudió a nuestra clínica, y se le hizo una Ortodoncia.




Deslice el cursor o el dedo a la izquierda y derecha para ver el cambio antes y después.
Manuel Vergara
Estoy muy contento con el resultado final del tratamiento, ha sido un cambio increíble y ha merecido muchísimo la pena.
Además, me gustaría agradecer el buen trato que he recibido y la gran profesionalidad con la que se ha llevado a cabo el proceso, lo que ha contribuido a llegar a este gran resultado.















